Cathy’s smile is back — and the pain is gone. Implants on the upper and lower gave her stability, confidence, and a brand-new reason to smile every day.
Catherine
Before
After
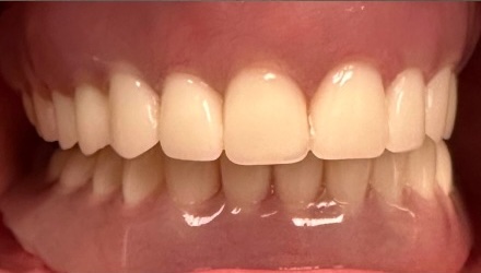
Catherine trusted us to rebuild her smile with porcelain crowns and bridges, and the transformation says it all. Strong, stable, and beautifully natural.
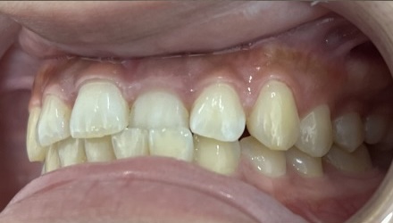
Daniella
Before
After
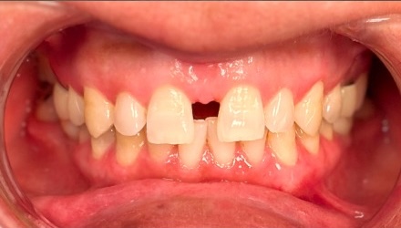
Daniella wasn’t happy with her smile — especially her front tooth that was very misaligned. Invisalign corrected everything, and now her smile is beautifully balanced.
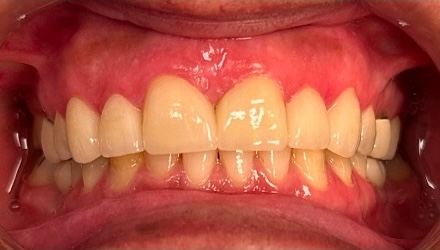
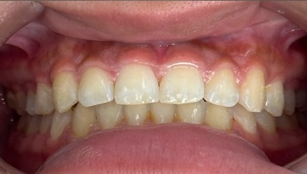
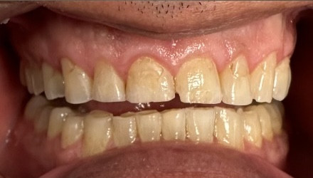
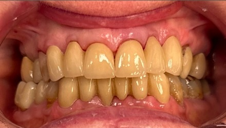
Francisco
Before
After
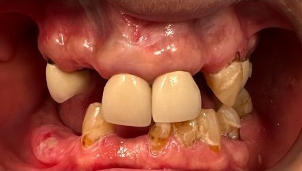
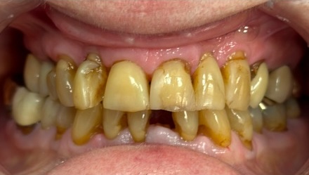
Francisco had porcelain crowns done to restore the form and function he lost from years of grinding. His smile is stronger, healthier, and finally comfortable again.
Farah
Before
After
Farah got the ultimate smile makeover with veneers — non-invasive, natural, and she truly can't stop smiling. Her veneers enhanced her natural features and restored her smile, and she hasn't stopped smiling since.
Guadalupe
Before
After
From spacing issues to misshapen teeth, Guadalupe struggled with her smile… until ceramic crowns transformed it completely.
Hansel
Before
After
Hansel was ready for a real, long-term change. Ceramic crowns and a ceramic bridge restored his smile, and he hasn’t stopped smiling since.