Herlinda wanted a smile where every tooth matched — ceramic crowns and bridges made it happen. A complete smile makeover with natural, seamless results.
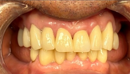
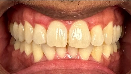
Isaiah
Before
After
Isaiah’s Invisalign treatment was simple and gentle, but the impact was huge. A smile upgraded for life.
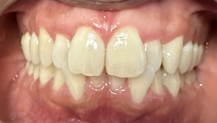
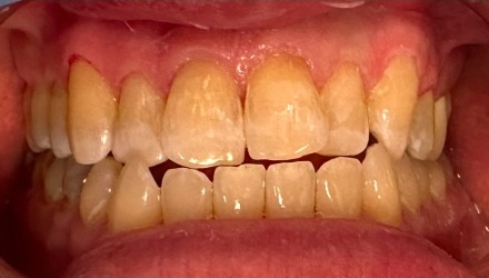
Jane
Before
After
After living with missing front teeth for years, Jane finally found her solution at Solace Dental Group. A permanent ceramic bridge restored her smile beautifully.
Mohammad
Before
After
Mohammad came to us looking for a complete smile makeover. After reviewing his concerns, we created a custom plan using multiple ceramic crowns and bridges — and the transformation is incredible.
Maribel
Before
After
Maribel wanted a simple solution for her broken, chipped teeth — porcelain veneers fixed her smile beautifully. Simple but so effective.
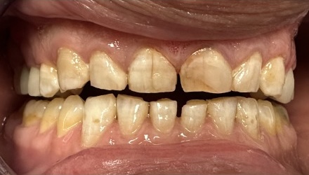
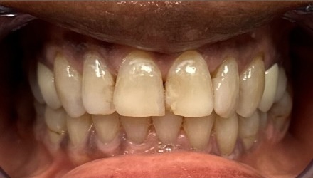
Pamela
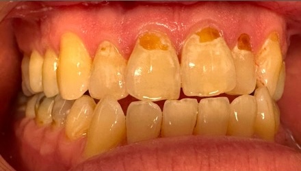
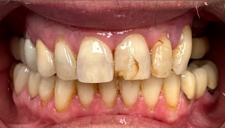
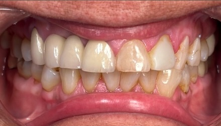
Before
After
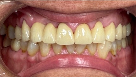
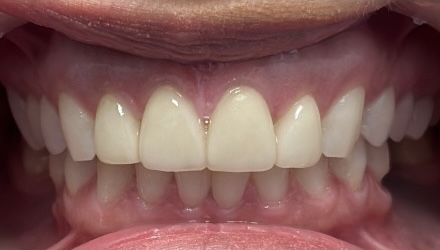
Pamela had multiple broken teeth, failing restorations, and several missing teeth. We rebuilt her smile with ceramic crowns, bridges, and implant crowns — a complete transformation she truly deserves.
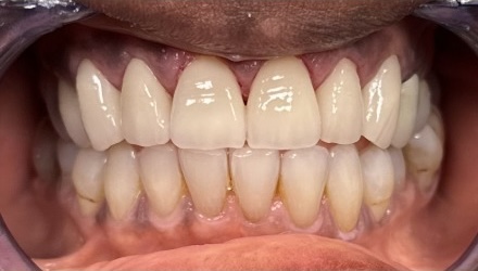
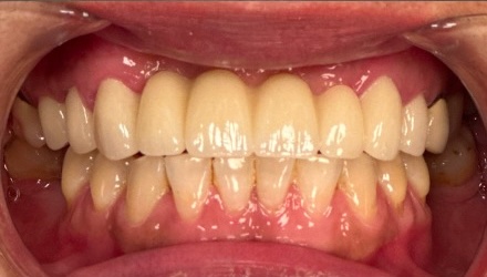
John
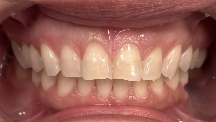
Before
After
John needed a conservative solution for his front teeth. Bonding fixed the cavities and gave him a clean, natural-looking smile.
Sharon
Before
After
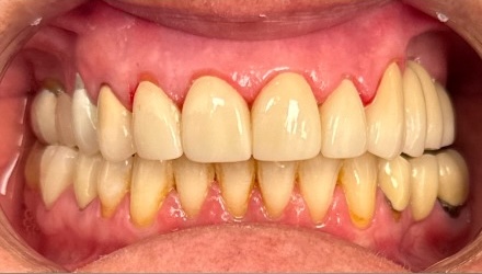
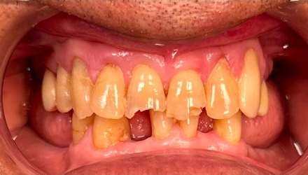
Sharon wanted a smile that matched the new chapter in her life. Ceramic crowns and bridges rebuilt her teeth, restored her confidence, and now she’s smiling nonstop.
Benjamin
Before
After
From wanting a change to loving his smile — porcelain crowns transformed Benjamin’s teeth and confidence.
Wendy
Before
After
Sometimes the smallest change makes the biggest difference. Conservative porcelain veneers transformed Wendy’s smile and energy.