Smile Gallery

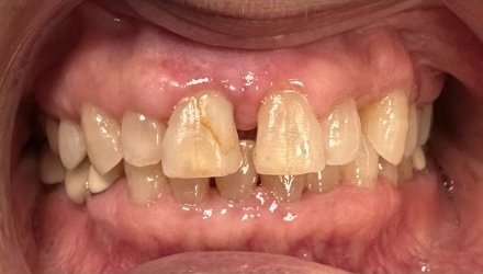
Before

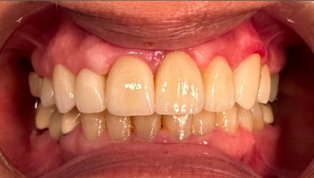
After
Sharon wanted a smile that matched the new chapter in her life. Ceramic crowns and bridges rebuilt her teeth, restored her confidence, and now she’s smiling nonstop.

Before

After
Hansel was ready for a real, long-term change. Ceramic crowns and a ceramic bridge restored his smile, and he hasn’t stopped smiling since.
Your Bolingbrook Dentists — Big on Compassion, Easy on the Wallet, Serious About Smiles.
Hate going to the dentist? We get it — and we’re here to change that.
At Solace Dental, your comfort comes first. Our visits are calm, personal, and completely pain-free. Serving Bolingbrook, Naperville, Woodridge, and surrounding areas, we use modern dental technology to make your care faster, easier, and better. From cleanings to smile makeovers, we help you love your smile — and maybe even love your dentist.
Book an Appointment
From Dental Fear to Dental Family.
Real patients. Real smiles. Real proof that a dental visit doesn’t have to be scary (or boring).
Why Solace Dental?

Family-Led Care, Rooted in Compassion
Solace Dental is run by two brothers, Dr. Emad and Dr. Kumail Zaidi — a true family practice built on warmth, trust, and connection. We take our time to listen, understand, and treat every patient like family.
Comfort You Can Feel
From the moment you walk in, you’ll notice the difference. Relaxed atmosphere, genuine smiles, and a team that actually listens — because dentistry should feel good, not stressful.
Invisalign & Modern Dentistry, Made Personal
We specialize in Invisalign and advanced dental technology like iTero and CBCT — delivering precise, comfortable care with the same personal touch you’d expect from a mom-and-pop practice.
Real family. Real comfort. Real results.
Why Choose Us
Family-Owned Practice
Run by brothers, our practice emphasizes trust, comfort, and compassionate care, ensuring every patient feels like part of our extended family.
Modern Comforts
From free parking to in-room entertainment with Netflix, Disney, Spotify, and patient-selected music, we make visits relaxing and stress-free.
Multi-Lingual Care
Our dental team speaks Arabic, Hindi, Russian, and Spanish, ensuring personalized communication and comfort for diverse patients in the Bolingbrook community.
Convenient Location
If you’re searching for a reliable dentist in 60490, our centrally located practice makes accessing high-quality dental care simple and stress-free.
Dental Implants
Our team provides durable and natural-looking dental implants to restore missing teeth with long-lasting results. Implants are carefully placed for comfort, function, and improved confidence.
Read More
Invisalign
Straighten your smile discreetly with Invisalign in Bolingbrook. These clear aligners are customized for comfort, making orthodontic treatment easier for adults and teens seeking aligned, confident smiles.
Explore Our Specials
Wisdom Teeth
Extractions
Our skilled dentists provide gentle wisdom teeth extractions with careful attention to comfort and recovery, whether preventive or urgent. Treatment is designed for long-term oral health.
Read More
Smile Makeovers
We create durable, natural-looking crowns for damaged or weakened teeth. As a cosmetic dentist in Bolingbrook, we use porcelain and ceramic options for strength and aesthetics.
Read More
Proof That Smiles Can Glow Up Too
Slide to see real Solace transformations — where confidence meets dentistry done right.
Meet the Doctors
No Insurance? No Problem — Welcome to the Solace Smile Club
Affordable care. Real savings. Zero insurance headaches. Because everyone deserves a healthy smile — without the red tape.
Smile More, Spend Less — Solace Dental Specials
A few of our favorite ways to make your smile (and your wallet) happy. Because great dentistry shouldn’t come with sticker shock.


















